...

9-летней девочке из Бостона удалили половину мозга

Социум Материалы 30 марта 2010 15:18 (UTC +04:00)
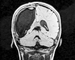
9-летняя жительница Бостона по имени Кэмерон поставила в тупик врачей и ученых. Всего за несколько недель, девочка смогла прийти в себя после сложнейшей операции по удалению правого полушария головного мозга.
9-летней девочке из Бостона удалили половину мозга

9-летняя жительница Бостона по имени Кэмерон поставила в тупик врачей и ученых. Всего за несколько недель, девочка смогла прийти в себя после сложнейшей операции по удалению правого полушария головного мозга.

Как сообщает eg.ru, начиная с трех лет Кэмерон, страдала тяжелой болезнью - синдромом Расмуссена или проще говоря, очаговым энцефалитом. Это коварная болезнь неизвестного происхождения начинается в детском возрасте и поражает только одно полушарие головного мозга, разрушая там нервные клетки.

В течение долгого времени малышку мучили судороги и тяжелые, едва ли не ежедневные, приступы эпилепсии. В конце концов, врачи вынуждены были удалить ребенку правое полушарие, которое отвечает за чувства, эмоции и ориентацию в пространстве.

- Мы были в ужасе, когда узнали о такой необходимости, - говорит Шелли Мотта, мама Кэмерон. - Даже трудно было подумать, что дочь будет чувствовать после вмешательства хирургов.

Врачи честно предупредили родителей, что в результате девчушка может навсегда оказаться парализованной и остаться инвалидом. Но, к счастью, этого не произошло.

Кэмерон очень быстро пошла на поправку. Врачи не могут поверить, что выздоровление заняло так мало времени. Сегодня Камерон ничем не отличается от своих сверстников.

Это живая и подвижная девчушка, которая ходит в школу и обожает танцевать.

- Когда вырасту, обязательно стану балериной, - поделилась она своими мечтами.

Лента

Лента новостей